Signed in as:
filler@godaddy.com
Signed in as:
filler@godaddy.com

April 10: Joe went to the field this morning at around 9:00 for a day game. I got up and felt some liquid/discharge coming out into my pad. I figured it was just the blue discharge from the estrogen pills like usual, but this seemed heavier. I went to the bathroom, and when I pulled down my pants, my heart sunk into my stomach. I started shaking and wanted to scream and cry simultaneously but couldn’t get any sound to come out. There was dark black blood on my pad. I texted a photo to my fertility doctor, and she called me right away. The first thing she asked was, “are you cramping?” The answer was no.
She told me not to be scared and that it was most likely a one-off because it was dark and there was no cramping. I took a few deep breaths and prayed. I started thinking about starting all over and the thought of doing it all alone in a brand new city. But I stopped myself. There is nothing good there to think about. About 30 minutes later, I used the restroom again, and brighter blood poured out. Then I really started to cry. I texted my doctor again, and she said to go in and see a doctor locally. Meanwhile, I was supposed to leave for the airport to fly to New Orleans for a Warriors Pelicans game in just a few hours. I called work, and they said absolutely go to the ER.
The closest ER was just one mile down the road. WHAT A BLESSING. I walked in and told them I was 7-8 weeks pregnant and that I was bleeding. They took me into a room, and I spoke with about seven different staff members to collect personal information, medical information, billing information, pregnant history information, etc. About 45 min later, they wheeled me into an ultrasound room. My technician was very nice, but when she pulled up the baby on the screen, I asked her,
“Is it alive? And she said “I can’t say, I am not the doctor.” I WANTED TO FLIP!!!!!! I had to get creative, so I said “is it moving?” And she said she couldn’t say.
But then she told me to “hold my breath” so she could “measure the heart rate!!” I’m like BINGO!! I said, “so there is a heart rate??” And she told me it was 165. The baby was alive, healthy, and doing just fine. Joe kept leaving the field and checking on me by calling from the clubhouse.
After the ultrasound, a nurse came in and told me there was a small hemorrhage that caused the bleeding, and the blood from today was most likely leftover from the implantation weeks before. They told me to wait 24 hours before traveling and schedule an appointment with my OB (which I don't have yet because we just moved). So I drove home, ordered food, and took it easy on the couch. I did not bleed the rest of the night, praise God.
April 11: I slept through the night, and there was no bleeding through the morning. Work called to check on me, and I told them I would be ok to go back to work for the next game, which luckily is in Minnesota two days from today. I said a lot of prayers, took a lot of deep breaths and thanked God multiple times a day for the amazing human growing inside of me. Perspective is everything. I took a big long nap and later went to watch Joe pitch. He got into the game and did great! I waited for him for an hour and a half after the game, and he came out laughing, saying, “what are you doing? I figured you went home!” I just wanted him to see me there waiting for him, to know I love him, and to cherish every minute with him. When you almost lose someone, your whole mentality changes. It's a healthy change, so I will take it. Maybe more of a reminder than a change. Either way, perspective.
April 12: Game day! (For Joe and me, haha). Tonight I get to cover the Clippers vs. the Timberwolves. It is supposed to rain all night, and a tornado, so if Joe gets rained out, I got him tickets to my game. I joined my production crew downtown for a production meeting and then went to Minnesota’s shootaround to talk to Karl Anthony Towns. I went home to walk the dog, go for a workout, and then go back to the arena. The Timberwolves have only won two playoff games since 2004, so the arena was PACKED. It was the loudest I think I have ever heard in an arena. It was an incredible atmosphere, and the game went down to the wire! D’Angelo Russell was my post-game interview. Joe’s game went eight innings, then a rain delay, then they finished. He got home around 1:45 AM! They lost again. It has been a rough start to the year. Joe needed to get just one out tonight, and he did great.

She told me one cup of coffee per day and chocolate counts as caffeine. I said, “that’s bullshit!” And she laughed and agreed, haha.
Everything looked good, though, and it was a really fun morning. I had lunch, went for a walk, and did some situps (I am trying to get to 100 a day because that is what my mom did during pregnancy, but I can only do 25 at a time without needing a break). I then went to the airport to fly to LA to cover the Pelicans and Clippers Friday.
Saturday, I fly to Arizona for round one of the playoffs and get to cover the Phoenix Suns! I am SO excited because it was snowing today in Minnesota, and it's 90 in Phoenix; plus, I get to see my best friend Courtney and her baby! The plane was delayed because the “wind was too strong to pull the arms out of the de-icing machine,” which was a new one that I hadn’t heard of. We eventually took off. Another night of shots on the plane because of the delay. I was hoping to do them at the hotel, but now I will miss my window. I get to stop shots on the 19th for good!!! Almost there!
I was so tired all day. SO TIRED. I was told that my body is starting to produce its own hormones, plus I am still taking the shots, so it's working double hard, and I am filled with lots of things!! I got to the hotel and ordered Ubereats, and went to bed. Boring day, but I was wiped!
April 15: We had a production meeting, and I went to Clippers shoot around. Paul George tested positive for COVID on game day, so that was a huge blow to the Clippers, who are facing elimination. I found the strength to get an arm workout in today and then went to the game. The Clippers kept it competitive, but the Pelicans won. So flying to Phoenix tomorrow for the Pelicans and Suns game one!
April 16: Travel day! I went right to practices when I landed and taped a report. Casual night getting ready for the game!
April 17: Round one, game one between the Suns and the Pelicans!! I can not wait for the playoffs to get going! The arena was PACKED. The Suns looked like a finals team, and Chris Paul took over in the fourth quarter. This is his 5th franchise, and he has helped four franchisees achieve the most wins in franchise history. He is unreal.

Joe pitched today in the game against Boston with runners on second and third. He got the batter to ground into a pickle, and they got the runner out. Then an intentional walk. They took a hit to center field for the third out! Go, Joe!
April 18: Best friend day!! Today I went to the Suns and Pelican's practices and shot a report for NBA TV to air tomorrow as a game preview. Then I got to see some amazing friends and their families. I started with Sarah, Lou Marson’s wife, who is the strongest, most amazing mom. She works full time and has a toddler and twin infants, one of which is my Godson!! She gets home from work and feeds, bathes, and plays with all of them and puts them down to sleep HERSELF. I am blown away by her strength. I then went to see my best friend Courtney and her husband, mom and dad, and adorable son Conrad. We ate leftovers and washed basketball, and snuggled. We did our “thankfuls” before Conrad went to bed, and he said he was thankful I was at his house. It melted my heart!!! Courtney is such a good mom. I am so proud of her!!
April 19: 10 weeks AND LAST DAY OF SHOTS. Today flew by!! It started with a game production breakfast meeting. During the meeting, my OB called with the results from my appointment last week. Everything looked good, but two things need to be addressed.
Number one, I have a UTI. JOY! I don't have any symptoms, but they said it is common in pregnancy. The second is I am slightly anemic. My doctor had me start a slow-release iron supplement daily. This blew my mind because I literally travel with beet powder, take a teaspoon daily, AND eat tons of kale, spinach, and greens, so the baby must be sucking all of my iron! Apparently, iron can help with restless leg syndrome too, so we will see.
I had a call with Arian to plan the Empire State Building lighting details. I packed my luggage for my flight tomorrow and went to the arena around 4:00. The game was extremely exciting. The Pelicans held their own, and the Sun’s star Devin Booker did not play the entire second half because of hamstring tightness, so the Pelicans were able to sneak in a win on the road. I did a post-game interview with Brandon Ingram, then went live on TNT to do a Devin Booker update with Ernie, Charles, Shaq, and Kenny.
After the game, I met Anthony and Britta, who own Doich. They have been giving me their amazing cookie dough on the road to get me through march madness and the playoffs, and they are going to contribute to HelpCureHD. They couldn’t have been nicer.
Joe played against KC. He went in with bases loaded and threw two pitches, both strikes, and got out of the inning! I think it's funny when we are on at the same time. My mom, dad, and Connie watch me on TV and catch him on the phone. They have it down. They don’t miss a beat!
April 20: This morning started with a work call to coordinate how to work the playoff schedule and the Empire State Building lighting. My life is a constant juggling act between work, personal, baseball, and our foundation. It turns out the lighting falls on a non-game day; however, I am supposed to be available to work for reports on off days. I told them it was important to the foundation and me, and they are being helpful in making it work.
It looks like I will have to take a red-eye from Phoenix Tuesday after my game to NYC. I land at 6:30 AM. Then the ceremony starts at 11 AM and ends around 2-3. I will then be on the first flight out to New Orleans for my game the following day unless the series ends before that. I miss Joe so much. But he is doing his thing and in his own grind. He has been phenomenal so far!! Knock on wood. I am so proud of him.
April 26: Gameday and redeye to New York to light the Empire State Building tomorrow!! What a day!! The day flew by. I went to shoot around, then met Courtney for a quick coffee, then went to the arena early for an NBATV report, a TNT report, and the game. After the game, there was traffic, and I almost missed my red eye!! I got to the gate as they were finishing boarding and hopped right on! I got about 2 hours of sleep on the 4.5 hour flight. Not horrible. It is so hard to force yourself asleep on a plane after an exciting game. I was thankful for 2 hours!
April 27: It’s go time!! I landed around 7 am on the redeye. Did I mention I hate JFK??? Because I HATE JKF! Haha, it's dirty, and the people are mean, and it's packed, and you can never find your ride, and when you do they are yelling at you, usually in a different language, which doesn’t make things easier! I finally found my driver, and it was an hour and 15 minutes to the city. I took a 45 min nap at the hotel and met our lead fundraiser, Arian, for breakfast! We had coffee, pumped each other up, and called an Uber to the Empire State Building.
We were greeted in a small welcome room by the head members of Resolve and Progyny. They could not have been nicer!!! We talked about genetic testing, insurance coverage for families going through IVF for genetic screening without an infertility diagnosis, and personal pregnancy stories. I met actress Kellee Stewart, an advocate for egg freezing nationally. She was a RAY OF SUNSHINE! Her positive energy lit up the room, and I knew it would be a great day.

We both got to give speeches. Hers focuses on the lack of education, information, and access for black women in the fertility and pregnancy space. Mine focused on HelpCureHD, and we both emphasized breaking the stigma around fertility! Then on the count of three, we got to lift the massive light switch to turn the top of the Empire State Building Orange!! It was the first time the building has been orange for infertility awareness week.
What an incredible honor. We got to go up all the way to the top (floor 102) and walk all the way around the building. The breeze was blowing, the sun was shining, and I just thanked God and smiled as we made history. We debriefed after for a moment, and I raced to the airport to catch my flight to New Orleans! Game 6 is tomorrow. This series and this trip to NY has been a dream. I am buzzing off of energy and history! View Event Photos
April 28: Still feeling so rejuvenated and excited about this week! Today started with a breakfast production meeting, followed by an early game. The game was INCREDIBLE!!!! The Pelicans led on and off for most of the game, but Chris Paul made history going 14-14 from the field and perfect from the FT line as well, as he led the Suns to a first-round playoff clinch. After the game, in our post-game interview, he was emotional, crying with former teammate and now Pelicans head coach Monty Williams. People don't remember Chris literally helped save the basketball team in New Orleans. After Katrina, they had hardly any fans at games. The league threatened to buy the team out, but he led them to a franchise-record in wins, and the fans started engaging. They passed the fan threshold and were able to keep their team back in 2011. They drafted him in 2005. On to see Joe tomorrow finally!!!!!
April 29: I hate early flights, but this morning…I am like a kid on Christmas!! I get to see Joe!!! My flight to Tampa was on time, and I got a nap in on the plane. When I got to the hotel, I snuggled into bed with Joe and woke him up with a kiss. We had the best breakfast and walk. Just touching him re-set me for a while. Even just his smell too. I just missed everything about him. It was pouring rain, but it didn’t matter. I went to the game, and he didn’t play, but we got to ride back to the hotel together and fall asleep to Ozark.
April 30: We slept until 11!!!! We both so needed it! We grabbed coffees and he was so cute. I wanted to lay in bed, and he said, “it's almost noon you're not gonna come down with me?” He wanted me to walk downstairs to get coffee with him. That was adorable. And I am glad I got up. I rested all day and ordered food in bed, then met our AMAZING HelpCureHD employee, Nichole, who is the one responsible for putting our 70-plus families through IVF. She is a warrior and an ANGEL. She and I went to watch Joe's game and met two other HelpCureHD team members there! Joe pitched and did awesome!!

After the game, Joe and I ubered to dinner at a place called Rooster & Till. It was really different. The menu was crazy unique. We had an awesome time, and it felt like we were dating again!
May 1: Today, I woke up and went right to the airport to fly to Phoenix, and when I got through security, I used the restroom to find red spotting when I wiped. I almost screamed, “NOOOO.” But I just took a deep breath and prayed to God. It was very light red. I texted my doctor, and a good friend who has been through 10 pregnancies and has four beautiful babies, and my sister, who is in her OB rotation right now. They were supportive, and they had two main questions: Is it gushing out? And Are you cramping? The answer was no to both, which gave me peace of mind. The next time I wiped, it was more of a brown color. I am almost positive seeing Joe factored into this. We hadn’t seen each other in 3 weeks, and then we had sex three times in 2 days. It had to have shook up some old blood. It was still so scary. It truly makes me appreciate every single day. When I landed, I went and shot a report for NBATV, and then rested my eyes. I had an early dinner and got a good 9 hours of sleep.
May 3: After a wonderful sleep, I went for a walk at the gym to just get my brain going. Of course, halfway through, I went to use the restroom, and more red spotting was happening, so I went back to the hotel and just showered and rested. Did I mention AND PRAYED. The spotting was extremely light and brown the rest of the day. I went to our production meeting, shoot around to talk to Jalen Brunson and Spencer Dinwiddie, and then went to see my best friend Courtney for 30 min. I took her mom flowers because she has been in and out of the hospital with a kidney stone and is staying with Courtney for a couple of weeks. Bless her heart. Game one is later in the night and turned out to be a very dominant Suns win over the Mavs! After, I went right to bed and got another great 8 hours of sleep!
May 4: 12 WEEKS TODAY!!!!! What a blessing today is right from the get-go!!!!!! The end of the first trimester is symbolic because it represents the end of the most difficult third of pregnancy for so many. Nausea, food aversions, shots in the glutes for IVF moms, higher miscarriage rates, etc. I know there is still so much that can happen, and I will not take a single day for granted. But I am absolutely celebrating in my mind this small milestone! I later went to Mavs practice, got a new iPhone, stopped by the mall, went to see Courtney, and then to dinner with Kevin Harlan. It was an awesome day.
May 5: I flew from Phoenix to Minneapolis and re-packed my luggage to last for the next month! It was 60 lbs, so I am trying to get it to 50, lol. Joe got in at 2 am. It was amazing just to feel his skin and sleep in with him, knowing that we would get to see our baby at our 12-week appointment when we woke up!
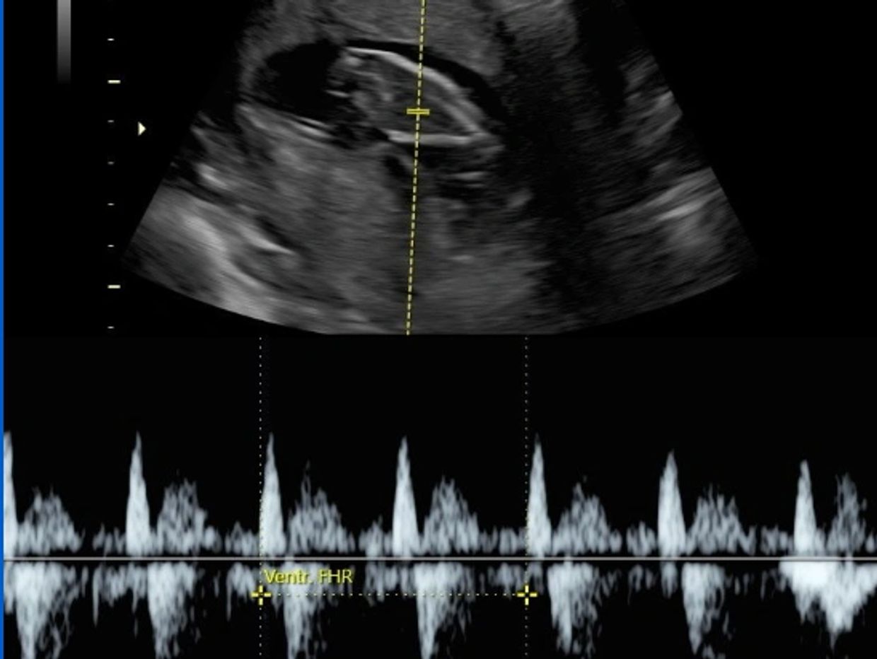
May 6: 12-week appointment!! This one had me all kinds of excited!! This told us so much. The baby was significantly more developed, and Joe was with me at the ultrasound, which was so exciting. He hadn’t seen the baby moving on an ultrasound yet! The baby was doing summersaults and the head was so clear. The head is 1/3 the size of the entire baby right now. You could see the spine and the arms and the legs!!!

The ultrasound tech guessed it was a boy because she saw a white dot in between the legs. Joe still refuses to believe that! He is holding out for a girl, and I am too! After the appointment, he left for the field, and I flew to Dallas. Game 3 of the series was tonight. I landed and watched the second half from the room because it was an ESPN game.
May 7: Today, I couldn’t stop smiling from the appointment. It is so weird walking around knowing a human is growing inside of you. Now that I am almost out of the first trimester, I have a ton of energy, and since I am not showing much yet, you feel very normal. You have to remind yourself a baby is in there! Although, between the shots of blood thinner, the food restrictions, and the vitamins, it's hard to forget. Joe Underhill and I took Kristin Mosher, a dear friend, and former Turner employee, to Uchi in Dallas. It is the BEST sushi spot. I had a couple of pieces of raw salmon, but I ordered everything else cooked. It was a blast! Game 4 tomorrow!
May 8: Gameday! 2:30 game, so I woke up, went for a walk, got breakfast, and did a live hit on NBA TV. Game 4 started and was INTENSE, with Dallas winning and tying the series 2-2. I took a car to the airport and flew to Phoenix. Tomorrow I just have reports for NBA TV, and then the 9th is Game 5, which is finally one of our TNT games again! Because Dallas evened it up, I won't see Joe until at least Friday, which feels like forever. But that is how it goes this time of year!
May 9: I had a deep 9 hours of sleep and woke up ready to rock. After a great breakfast at Breakfast Club, I went to the Suns practice, and talked to Coach Williams, and Cam Johnson. Coach Williams won Coach of the Year! I walked around in the sun by myself, sat on a nice patio, and ordered a big lunch. I just was counting my blessings. Courtney's mom had kidney surgery today, so I was praying for her. I returned to the hotel just to journal, watch the two TNT games, and relax. Game 5 tomorrow!
Horizon Community Funds of Northern Kentucky is proud to partner with HelpCureHD to serve as its fiscal sponsor.Horizon Community Funds is a nationally accredited public charity. Our tax identification number is 82-1388190. We are happy to provide our IRS determination letter upon request.
We use cookies to analyze website traffic and optimize your website experience. By accepting our use of cookies, your data will be aggregated with all other user data.